Hiperdoncja to rzadkie, ale niezwykle interesujące zjawisko, które może występować w kontekście zdrowia jamy ustnej. Często niezauważone przez pacjentów, może prowadzić do poważnych problemów stomatologicznych, gdy nie zostanie odpowiednio rozpoznane i leczone. W artykule omówimy, czym jest hiperdoncja, jak ją rozpoznać, jakie są jej przyczyny, a także jakie metody leczenia mogą pomóc w walce z tą dolegliwością.
Czym jest hiperdoncja?
Hiperdoncja to stan, w którym w jamie ustnej pacjenta rozwija się więcej zębów niż przewiduje to standardowa liczba w danym etapie rozwoju. Zazwyczaj człowiek posiada 20 zębów mlecznych i 32 zęby stałe, ale w przypadku hiperdoncji może wystąpić nadmiar zębów, co skutkuje ich dużą liczbą, określaną jako „zęby nadliczbowe”.
Zęby nadliczbowe mogą pojawić się w różnych częściach jamy ustnej, w tym w okolicy zębów trzonowych, przedtrzonowych, a także w obrębie zębów siecznych czy nawet w okolicach zębów mądrości. W zależności od położenia oraz liczby dodatkowych zębów, hiperdoncja może prowadzić do licznych problemów zdrowotnych, takich jak bóle, trudności w żuciu, czy problemy estetyczne.
Hiperdoncja może być dziedziczna lub wynikać z różnych czynników, takich jak zaburzenia genetyczne czy wpływ niektórych chorób. W leczeniu tej przypadłości często stosuje się usuwanie zębów nadliczbowych, aby przywrócić prawidłową funkcję jamy ustnej i poprawić estetykę uśmiechu.
Objawy hiperdoncji
Objawy hiperdoncji mogą być bardzo zróżnicowane, zależnie od lokalizacji nadmiarowych zębów oraz ich liczby. W wielu przypadkach nadliczbowe zęby mogą pozostać niezauważone przez długi czas, zwłaszcza jeśli nie powodują bólu ani nie powodują widocznych zmian w strukturze zgryzu.
Typowe objawy hiperdoncji to:
- Zmiany w wyglądzie uzębienia (występowanie zębów, które wydają się „nie na miejscu”),
- Przestrzenie między zębami,
- Zwiększone trudności w żuciu lub gryzieniu,
- Ból w okolicy jamy ustnej,
- Zwiększone ryzyko próchnicy lub stanów zapalnych dziąseł,
- Problemy z zgryzem (krzywy zgryz, trudności z zamykaniem szczęki).
Warto dodać, że w przypadkach silnej hiperdoncji zęby nadliczbowe mogą wywierać nacisk na sąsiednie zęby, co prowadzi do ich przemieszczenia lub uszkodzenia.
Przyczyny hiperdoncji
Hiperdoncja może mieć różne przyczyny. Zjawisko to jest z reguły wrodzone, chociaż może również wystąpić w wyniku urazów lub procesów chorobowych. Przeważnie hiperdoncja wynika z nieprawidłowego rozwoju zawiązków zębów, które powstają już w okresie prenatalnym. W pewnych przypadkach mogą występować mutacje genetyczne, które prowadzą do powstania dodatkowych zębów. Przykładem jest hiperdoncja, która występuje u osób z zespołem Gardnera, zespołem Ehlersa-Danlosa, czy zespółem Downa.
Inną przyczyną hiperdoncji może być mechanizm ewolucyjny, który odpowiada za tworzenie dodatkowych zębów w sytuacjach, gdy organizm próbuje zrekompensować utratę zębów na skutek chorób, uszkodzeń czy też braków w jamie ustnej.
Jakie są rodzaje hiperdoncji?
Wyróżnia się dwa główne typy hiperdoncji:
- Hiperdoncja prawdziwa – w tym przypadku nadliczbowe zęby mają pełną strukturę i funkcjonalność. Zwykle są one dość rozwinięte, z korzeniami i koronami, chociaż mogą być częściowo niekształtne.
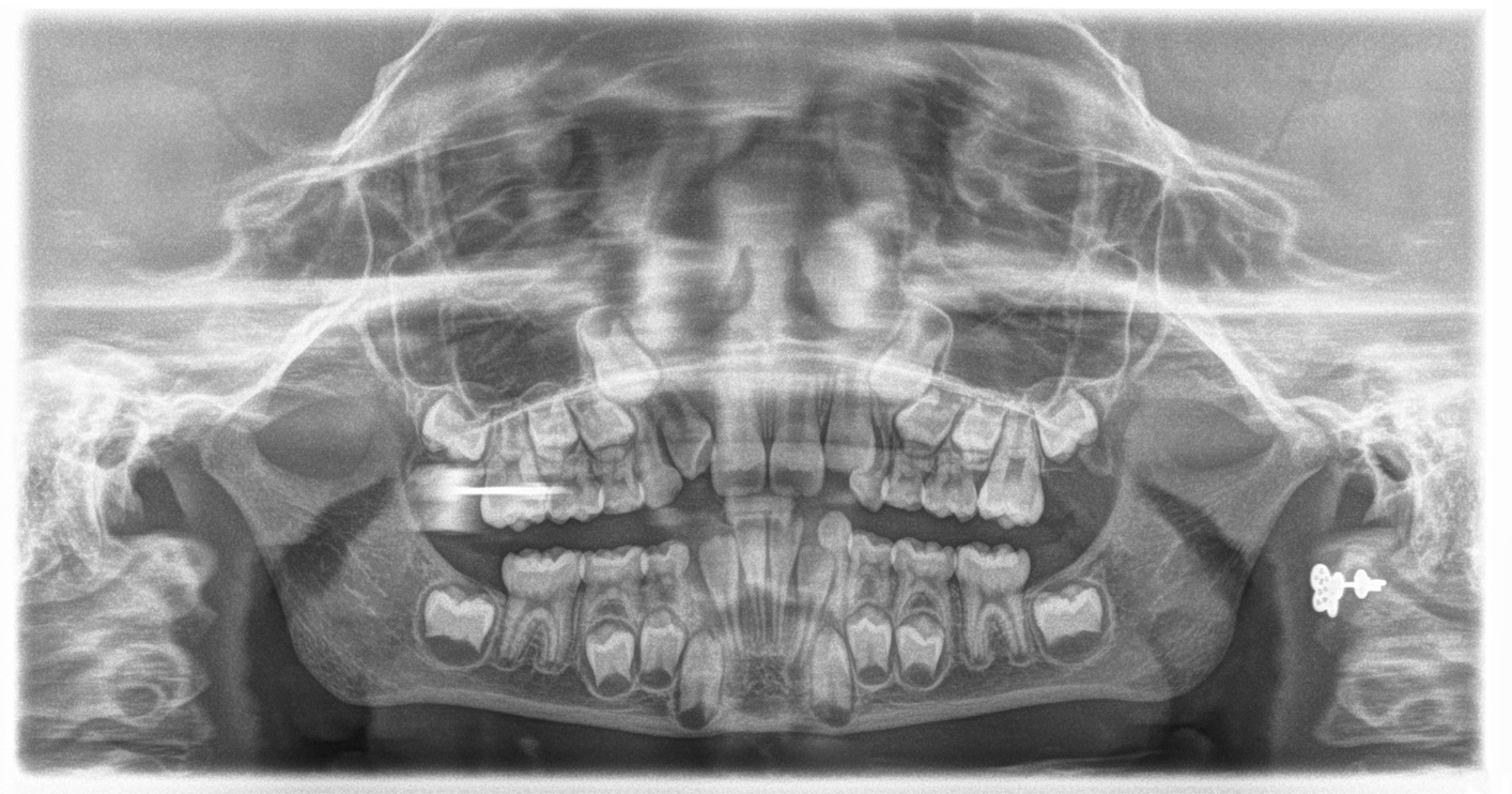
- Hiperdoncja rzekoma – nadliczbowe zęby są mniej rozwinięte i mogą występować w formie niepełnych zawiązków, które często są niewidoczne gołym okiem i odkrywane tylko w wyniku prześwietlenia rentgenowskiego.
Nadliczbowe zęby mogą przyjmować różne formy. Często są one zbliżone do zębów stałych, ale mogą też występować w postaci zębów, które nie mają typowego kształtu. W zależności od lokalizacji nadmiarowych zębów, mogą one wymagać różnych interwencji stomatologicznych.
Czy hiperdoncja jest groźna?
Hiperdoncja może prowadzić do szeregu poważnych problemów zdrowotnych, dlatego należy ją traktować z należytą uwagą i podjąć odpowiednie leczenie. Nadliczbowe zęby, szczególnie te, które wywołują ból, przesuwają inne zęby lub zmieniają układ jamy ustnej, mogą prowadzić do zaburzeń w funkcjonowaniu zgryzu. Tego typu zaburzenia mogą skutkować trudnościami w mówieniu, gryzieniu, a także powodować bóle stawów skroniowo-żuchwowych, które znacząco wpływają na komfort życia pacjenta.
Dodatkowo, obecność dodatkowych zębów zwiększa ryzyko próchnicy, zwłaszcza w przypadku zębów, które są trudne do dokładnego oczyszczenia, co sprzyja gromadzeniu się bakterii i tworzeniu się ognisk zapalnych. Nadliczbowe zęby mogą także wywierać nacisk na sąsiednie zęby, co prowadzi do ich przemieszczenia i zaburzenia naturalnego ustawienia uzębienia, powodując w ten sposób dalsze problemy z zgryzem. Taki stan może skutkować częstymi stanami zapalnymi dziąseł i innymi dolegliwościami związanymi z niewłaściwym układem zębów.
Nieleczona hiperdoncja może prowadzić również do nieestetycznego wyglądu uzębienia, co może mieć negatywny wpływ na samopoczucie pacjenta, a także jego pewność siebie. Pomimo że hiperdoncja sama w sobie nie jest bezpośrednio niebezpieczna dla życia, niewłaściwie leczona może prowadzić do poważniejszych komplikacji zdrowotnych w jamie ustnej, które w skrajnych przypadkach mogą wymagać interwencji chirurgicznych. Z tego względu wczesna diagnoza i odpowiednie leczenie są kluczowe, by zapobiec poważnym konsekwencjom zdrowotnym.
Jeśli chodzi o usługi z zakresu chirurgii stomatologicznej, więcej informacji przeczytają Państwo w linku: https://dentalfraternity.pl/chirurgia-stomatologiczna/.
Diagnostyka hiperdoncji
Rozpoznanie hiperdoncji w większości przypadków jest możliwe tylko przy użyciu badań diagnostycznych, takich jak zdjęcia rentgenowskie. Zwykłe badanie stomatologiczne może nie ujawnić wszystkich dodatkowych zębów, szczególnie w przypadku, gdy są one w fazie wczesnego rozwoju. Z tego powodu, w przypadku podejrzenia hiperdoncji, konieczne może być wykonanie panoramicznego zdjęcia RTG jamy ustnej, które pozwala na dokładne zlokalizowanie nadliczbowych zębów.
Dodatkowo, stomatolog może wykonać badanie kliniczne, aby ocenić, jak nadmiarowe zęby wpływają na strukturę zgryzu oraz stan dziąseł. Na tej podstawie lekarz podejmie decyzję o dalszym leczeniu.
Jeśli chcesz poprawić wygląd swoich zębów, koniecznie przeczytaj więcej na temat stomatologii estetycznej: https://dentalfraternity.pl/stomatologia-estetyczna/.
Jak leczyć hiperdoncję?
Leczenie hiperdoncji zależy od jej stopnia nasilenia, liczby oraz położenia nadliczbowych zębów. W wielu przypadkach leczenie ma na celu usunięcie dodatkowych zębów i przywrócenie prawidłowego zgryzu. Poniżej przedstawiamy główne metody leczenia hiperdoncji:
- Obserwacja – w przypadku, gdy zęby nadliczbowe nie powodują problemów zdrowotnych, mogą zostać pozostawione bez ingerencji. Warto jednak regularnie kontrolować stan jamy ustnej.
- Ekstrakcja zębów – najczęściej stosowaną metodą leczenia hiperdoncji jest usunięcie nadliczbowych zębów. Ekstrakcja odbywa się zwykle pod znieczuleniem miejscowym, a po zabiegu pacjent może wrócić do normalnego funkcjonowania.
- Orthodoncja – jeżeli nadliczbowe zęby prowadzą do przemieszczenia innych zębów, leczenie ortodontyczne może być konieczne. Noszenie aparatów ortodontycznych może pomóc w przywróceniu prawidłowego ustawienia zębów.
- Chirurgia stomatologiczna – w przypadkach bardziej skomplikowanych, gdzie zęby nadliczbowe znajdują się w trudnej do dostępu lokalizacji, może być konieczne przeprowadzenie zabiegu chirurgicznego.
Profilaktyka hiperdoncji
Choć hiperdoncja jest z reguły wrodzoną przypadłością, to odpowiednia profilaktyka może pomóc w uniknięciu powikłań związanych z nadliczbowymi zębami. Regularne wizyty u dentysty pozwalają na wczesne wykrycie nieprawidłowości w rozwoju uzębienia. Stomatolog będzie w stanie zalecić odpowiednią diagnostykę i wdrożyć leczenie, które zapobiegnie dalszym problemom zdrowotnym.
Wskazówki dotyczące profilaktyki:
- Regularne badania stomatologiczne (przynajmniej raz w roku),
- Utrzymywanie odpowiedniej higieny jamy ustnej, aby uniknąć rozwoju próchnicy i stanów zapalnych,
- Wczesne rozpoznanie problemów ze zgryzem lub nieprawidłowym ustawieniem zębów,
- Skonsultowanie się z ortodontą lub chirurgiem stomatologicznym w przypadku wystąpienia objawów hiperdoncji.
Jeszcze więcej rzetelnych informacji związanych z hiperdoncją, przeczytać można tutaj: https://pl.wikipedia.org/wiki/Hiperdoncja
Podsumowanie
Hiperdoncja, choć jest rzadkim zjawiskiem, może stanowić poważne wyzwanie dla zdrowia jamy ustnej, jeśli nie zostanie odpowiednio rozpoznana i leczona. Nadliczbowe zęby mogą powodować problemy związane z funkcjonowaniem zgryzu, a także prowadzić do innych dolegliwości, takich jak bóle, problemy z higieną jamy ustnej czy stany zapalne. Kluczem do skutecznego leczenia jest wczesna diagnoza oraz odpowiednia interwencja stomatologiczna.
Jeśli podejrzewasz, że masz do czynienia z hiperdoncją, skonsultuj się ze specjalistą, który przeprowadzi szczegółową diagnostykę i zaproponuje odpowiednią metodę leczenia. Z pomocą nowoczesnych metod stomatologicznych możliwe jest przywrócenie zdrowia i estetyki Twojego uzębienia, zapewniając Ci komfort na co dzień.
Jeśli chcą Państwo dowiedzieć się więcej na temat naszych usług, zapraszamy do kontaktu: https://dentalfraternity.pl/kontakt/.



